• تسجيل دخول
  • حساب جديد
  • أخبار العالم
  • مصر
  • الرياضة
  • إقتصاد
  • السعودية
بلس 48بلس 48
  • أخبار العالم
  • مصر
  • الرياضة
  • إقتصاد
  • السعودية
    • تسجيل دخول
    • حساب جديد
لا توجد نتائج
مزيد من النتائج
  • العملات
  • أوقات الصلاة
  • الطقس

أخر الاخبار

وحدة
      تصوير
      القلب
      بالرنين
      المغناطيسي
      بمستشفي
      سوهاج
      الجامعي
      الجديد
      تُشخّص
      حالة
      نادرة
      لمريض
      وتُسهم
      في
      علاجها
      الفوري - بلس 48

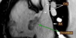
وحدة تصوير القلب بالرنين المغناطيسي بمستشفي سوهاج الجامعي الجديد تُشخّص حالة نادرة لمريض وتُسهم في علاجها الفوري - بلس 48

أخبار العالممنذ 37 ثانية
رئيس
      البرلمان
      العربي
      يُثمن
      جهود
      مملكة
      البحرين
      فى
      دعم
      العمل
      العربي
      المشترك - بلس 48

رئيس البرلمان العربي يُثمن جهود مملكة البحرين فى دعم العمل العربي المشترك - بلس 48

أخبار العالممنذ 38 ثانية
موعد
      صرف
      معاشات
      شهر
      نوفمبر
      2025..
      إليك
      الجدول
      وأماكن
      الصرف - بلس 48

موعد صرف معاشات شهر نوفمبر 2025.. إليك الجدول وأماكن الصرف - بلس 48

أخبار العالممنذ 39 ثانية
محافظ
      بورسعيد
      :
      تواصل
      أعمال
      تطوير
      منطقة
      برسيل
      ضمن
      خطة
      رفع
      كفاءة
      البنية
      التحتية
      بحي
      الضواحي - بلس 48

محافظ بورسعيد : تواصل أعمال تطوير منطقة برسيل ضمن خطة رفع كفاءة البنية التحتية بحي الضواحي - بلس 48

أخبار العالممنذ 40 ثانية
ارتفاع
      حصيلة
      ضحايا
      العدوان
      الإسرائيلي
      على
      غزة
      إلى
      أكثر
      من
      68
      ألف
      شهيد - بلس 48

ارتفاع حصيلة ضحايا العدوان الإسرائيلي على غزة إلى أكثر من 68 ألف شهيد - بلس 48

أخبار العالممنذ 42 ثانية
أسعار
      البنزين
      والسولار
      اليوم
      في
      محطات
      الوقود
      بعد
      الزيادة
      الجديدة - بلس 48

أسعار البنزين والسولار اليوم في محطات الوقود بعد الزيادة الجديدة - بلس 48

أخبار العالممنذ 43 ثانية
محافظ
      كفرالشيخ
      يكرم
      فريق
      عمل
      مركز
      نظم
      المعلومات
      الجيومكانية - بلس 48

محافظ كفرالشيخ يكرم فريق عمل مركز نظم المعلومات الجيومكانية - بلس 48

أخبار العالممنذ 44 ثانية
محافظ
      كفرالشيخ
      يُسلّم
      6
      عقود
      تقنين
      أراضي
      أملاك
      دولة
      للمستفيدين
      من
      المواطنين - بلس 48

محافظ كفرالشيخ يُسلّم 6 عقود تقنين أراضي أملاك دولة للمستفيدين من المواطنين - بلس 48

أخبار العالممنذ 46 ثانية
السيسي
      يوجه
      بإنشاء
      آلية
      وطنية
      لدعم
      إعادة
      إعمار
      غزة
      ويدعو
      المصريين
      للمساهمة - بلس 48

السيسي يوجه بإنشاء آلية وطنية لدعم إعادة إعمار غزة ويدعو المصريين للمساهمة - بلس 48

أخبار العالممنذ 47 ثانية
جامعة
      الوادي
      الجديد
      تشارك
      فى
      ملتقى
      قادة
      الغد
      بمشاركة
      طلاب
      الجامعات
      المصرية - بلس 48

جامعة الوادي الجديد تشارك فى ملتقى قادة الغد بمشاركة طلاب الجامعات المصرية - بلس 48

أخبار العالممنذ 48 ثانية
عرض المزيد

2025 © بلس 48

جامعة
      الوادي
      الجديد
      تشارك
      فى
      ملتقى
      قادة
      الغد
      بمشاركة
      طلاب
      الجامعات
      المصرية - بلس 48

جامعة الوادي الجديد تشارك فى ملتقى قادة الغد بمشاركة طلاب الجامعات المصرية - بلس 48

أخبار العالممنذ 48 ثانية
أسعار
      زيت
      الطعام
      على
      بطاقات
      التموين
      بعد
      إضافة
      عبوة
      جديدة - بلس 48

أسعار زيت الطعام على بطاقات التموين بعد إضافة عبوة جديدة - بلس 48

مصرمنذ 3 دقائق
وظائف
      جامعة
      الملك
      فيصل
      في
      السعودية
      2025..
      طريقة
      التقديم
      والأوراق
      المطلوبة - بلس 48

وظائف جامعة الملك فيصل في السعودية 2025.. طريقة التقديم والأوراق المطلوبة - بلس 48

مصرمنذ 4 دقائق
مصدر
      أمني
      إسرائيلي:
      سلاح
      الجو
      هاجم
      نحو
      20
      هدفًا
      فى
      غزة
      حتى
      الآن - بلس 48

مصدر أمني إسرائيلي: سلاح الجو هاجم نحو 20 هدفًا فى غزة حتى الآن - بلس 48

مصرمنذ 4 دقائق
"ماجستير
      إدارة
      الأعمال
      الدولية"
      بالجامعة
      الأمريكية
      بالقاهرة
      يحتل
      المرتبة
      الرابعة
      عالميا - بلس 48

"ماجستير إدارة الأعمال الدولية" بالجامعة الأمريكية بالقاهرة يحتل المرتبة الرابعة عالميا - بلس 48

مصرمنذ 4 دقائق
وزارة
      التجارة:
      منع
      أكثر
      من
      5
      ملايين
      منتج
      مخالف
      بالربع
      الثالث
      2025 - بلس 48

وزارة التجارة: منع أكثر من 5 ملايين منتج مخالف بالربع الثالث 2025 - بلس 48

غير مصنفمنذ 7 دقائق
الجامعة
      العربية
      تستضيف
      الاجتماع
      23
      للهيئة
      العربية
      لخدمات
      نقل
      الدم - بلس 48

الجامعة العربية تستضيف الاجتماع 23 للهيئة العربية لخدمات نقل الدم - بلس 48

غير مصنفمنذ 11 دقيقة
«أحكام
      الضمان
      في
      الإسلام»
      محور
      مجالس
      دار
      الإفتاء
      بالمحافظات
      ضمن
      جهودها
      لنشر
      الوعي
      الديني
      الصحيح - بلس 48

«أحكام الضمان في الإسلام» محور مجالس دار الإفتاء بالمحافظات ضمن جهودها لنشر الوعي الديني الصحيح - بلس 48

غير مصنفمنذ 11 دقيقة
السعودية تمنع وصول 5 ملايين منتج مخالف للمستهلكين.. التفاصيل الكاملة - بلس 48

السعودية تمنع وصول 5 ملايين منتج مخالف للمستهلكين.. التفاصيل الكاملة - بلس 48

غير مصنفمنذ 12 دقيقة
المركزي العراقي: الديون الخارجية للعراق لا ... - بلس 48

المركزي العراقي: الديون الخارجية للعراق لا ... - بلس 48

غير مصنفمنذ 12 دقيقة

الصفحة غير متاحه

عفوا الصفحة التي تحاول الوصول إليها غير متاحة ، فى حالة الاستفسارات يمكنك الاتصال بنا

أحدث الاخبار لدينا

وحدة
      تصوير
      القلب
      بالرنين
      المغناطيسي
      بمستشفي
      سوهاج
      الجامعي
      الجديد
      تُشخّص
      حالة
      نادرة
      لمريض
      وتُسهم
      في
      علاجها
      الفوري - بلس 48

وحدة تصوير القلب بالرنين المغناطيسي بمستشفي سوهاج الجامعي الجديد تُشخّص حالة نادرة لمريض وتُسهم في علاجها الفوري - بلس 48

أخبار العالممنذ 37 ثانية
رئيس
      البرلمان
      العربي
      يُثمن
      جهود
      مملكة
      البحرين
      فى
      دعم
      العمل
      العربي
      المشترك - بلس 48

رئيس البرلمان العربي يُثمن جهود مملكة البحرين فى دعم العمل العربي المشترك - بلس 48

أخبار العالممنذ 38 ثانية
موعد
      صرف
      معاشات
      شهر
      نوفمبر
      2025..
      إليك
      الجدول
      وأماكن
      الصرف - بلس 48

موعد صرف معاشات شهر نوفمبر 2025.. إليك الجدول وأماكن الصرف - بلس 48

أخبار العالممنذ 39 ثانية
محافظ
      بورسعيد
      :
      تواصل
      أعمال
      تطوير
      منطقة
      برسيل
      ضمن
      خطة
      رفع
      كفاءة
      البنية
      التحتية
      بحي
      الضواحي - بلس 48

محافظ بورسعيد : تواصل أعمال تطوير منطقة برسيل ضمن خطة رفع كفاءة البنية التحتية بحي الضواحي - بلس 48

أخبار العالممنذ 40 ثانية
ارتفاع
      حصيلة
      ضحايا
      العدوان
      الإسرائيلي
      على
      غزة
      إلى
      أكثر
      من
      68
      ألف
      شهيد - بلس 48

ارتفاع حصيلة ضحايا العدوان الإسرائيلي على غزة إلى أكثر من 68 ألف شهيد - بلس 48

أخبار العالممنذ 42 ثانية
أسعار
      البنزين
      والسولار
      اليوم
      في
      محطات
      الوقود
      بعد
      الزيادة
      الجديدة - بلس 48

أسعار البنزين والسولار اليوم في محطات الوقود بعد الزيادة الجديدة - بلس 48

أخبار العالممنذ 43 ثانية